廊坊市民多颗牙缺失怎么修复好?
时间:2019-09-13 14:07
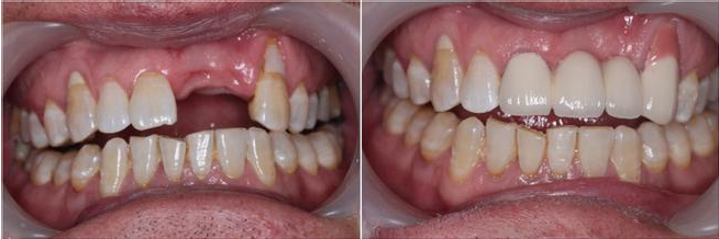
放假回家的时候看到70多岁的爷爷牙齿少了两颗,饭都没吃多少就说不舒服,看得心里实在不是滋味,平时我上班没时间陪他们,因此趁过完年的那几天,我带着爷爷去医院检查,顺便把牙齿给安上,也算是我工作一年以来对爷爷的报答吧。
在朋友的介绍之下,我来到了廊坊圣洁口腔医院,接待我们的是姚院长,姚院长为爷爷检查之后,特意提醒到:牙齿缺失后应及时修复。如果长期没有修复,对颌牙齿会因为无咬牙合接触而伸长;两侧牙齿会移位向缺失处倾斜,引起食物嵌塞,不易清洁,引起蛀牙及牙周病等。姚院长还给我们讲牙齿缺失后修复的一些方法,今天分享给大家。

牙齿缺失修复方法一、活动假牙:
利用塑料做基托,靠粘膜、骨组织作支持,可自由取戴的一种修复体,由基托上的假牙和有弹性的金属卡环所组成。它所承受的咀嚼压力并不完全靠两边邻牙来担负,还由缺牙处的牙龈和牙槽骨来承担一部分。因此,活动假牙即使在两端邻牙并不太坚固的情况下也可装镶。活动假牙优点是操作比较简便,磨牙较少,托牙可以取脱下来加以洗涤,有利于口腔卫生。 》》》相关阅读:廊坊种植牙有副作用吗?

牙齿缺失修复方法二、固定假牙:
1.烤瓷牙是利用缺牙相邻两侧好牙把假牙固定其上。顾客自己不能自行取戴。这种假牙的制造方法是先将两端的基牙(作为基础的牙)磨去一部分,然后制造一个金属冠套套在基牙上,再用另一个金属杆,把两端连接起来,中间是塑胶牙。 固定假牙优点是体积小,舒适,无异物感,装入口腔后容易习惯;咀嚼功能比活动假牙要大。烤瓷牙缺点是要磨除基牙,对医生制备要求条件较高,另外,失牙不能过多,以1~2个牙齿缺失为宜。
2.种植牙由于人工牙深植牙骨内,可承受正常的咀嚼力量,功能和美观上几乎和自然牙一样,因此,被人们称为人类的第三副牙齿。 》》》相关阅读:廊坊种植牙的条件?
种植牙作为一种与天然牙功能、结构以及美观效果十分相似的修复方式,已经成为口腔医学界和缺牙患者的,在欧洲,种植牙已是普遍的修复方式,韩式无痛种植更是深受大众青睐。廊坊圣洁口腔引进的设备与技术,让国人在家门口即可享受的种植牙技术。

【温馨提示】综上所述就是廊坊圣洁口腔医生为大家做出的介绍,希望能对您有所帮助,但是文章必有它的局限性,在有些地方介绍不是很清楚,如果您还有哪些不懂的地方,或者是还想了解更多关于口腔方面的知识。 可以在线咨询或是拨打廊坊圣洁口腔医院的免费服务热线:0316——2285777,我们的专业医生助理会详细为您解答。

相关阅读