在廊坊,超薄全瓷牙贴面可以不磨牙吗?
时间:2020-08-13 15:46
对于牙齿贴面,一些朋友心里迈不过去的坎就是害怕磨牙,担心磨牙会对牙齿健康有危害。现在有的口腔医院引进了薄可至0.2毫米的超薄瓷贴面,贴面市场上也有不少宣传不磨牙贴面的。那么贴面前备牙到底有没有必要?是不是所有人都可以不磨牙做贴面呢?

做牙齿贴面是否需要磨牙?
牙贴面“磨牙”,我们在医疗上称之为“备牙”。顾名思义,就是指在正式操作牙齿贴面之前的准备工作,以达到比较好的贴面效果。其实,贴面前是否需要磨牙主要取决于贴面客人的口内牙齿情况与面型。

比如说牙齿和面型原本就较凸的客人,不磨牙直接贴面,无疑会加重凸感;牙齿排列十分紧密,两侧没有足够操作空间的话可能也会需要提前预备出一点牙缝隙……

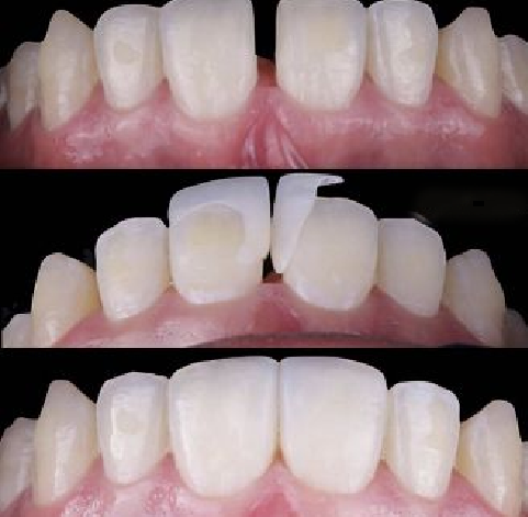
相对应的,如果您牙齿类似于案例上这种:
面型和牙齿都不存在外凸情况,并且牙齿排列整齐只是解决牙齿小缝隙问题的话,很大几率是可以不磨牙进行贴面操作的。》》》推荐阅读:牙齿很重要,这几个事情要知道!
还有一点,大家平时看见的瓷贴面是不是大多是这样的:

其实牙贴面不止这一种形态,比如说下图这种的:

很明显,这个案例在瓷贴面修复前基本上是不需要备牙的,所以是否磨牙也要取决于您的主诉,如果是牙齿本身颜色很深,希望可以美白牙齿的情况,那备牙量可能相对就要多一些。
大家都希望自己可以不磨牙直接做贴面,但是我们要知道并不是人人都适合这种方式的。考虑做牙贴面的朋友们应该做好心理准备,到专业口腔机构面诊专业美学修复医生再做决定。
【温馨提示】一口整齐洁白的牙齿,更让人神清气爽,心情愉快。牙齿是伴随我们一生的器官,我们一定要爱护好。廊坊圣洁口腔暑期矫正优惠火热进行中,更多优惠欢迎官网咨询或是拨打0316—2285777进行预约,正畸路上圣洁与您同行!
相关阅读