廊坊隐形正畸 多少钱
时间:2019-03-02 09:40
人们想要把自己的牙齿矫正整齐,可是又担心价格太贵。那么隐形矫正牙齿贵吗?下面就请廊坊圣洁口腔专家为大家介绍下。
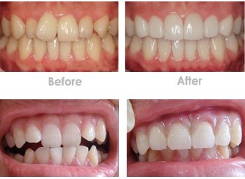
隐形矫正前后对比
隐形矫正牙齿的价格主要受以下几方面的影响:
一、自身牙齿的情况:
牙齿矫正的价格与牙齿基础条件有关,做牙齿矫正之前会通过计算机3D数码定位系统对您的牙列、牙齿的咬合情况进行综合分析,并通过精确的对比进行设计方案。不同人由于牙齿病变的情况不同,价格也不同。
二、牙齿矫正所用的材料
矫正材料不同价格不同,先从材料看,有进口和国产之分,一般是进口要贵于国产,国产和进口在性能和效果上有较大区别,不同材质其机械性能、物理性能、化学性能、生物相容性、美观性等都有很大区别。
三、医生技术
医生不仅要精通口腔的治疗,也要有较强的审美理念、还有赖于临床医师专业的修复理论支撑,规范的操作,正确的设计,和技师的密切配合等。
以上就是专家介绍的隐形矫正牙齿的价格问题。廊坊圣洁口腔无托槽隐形矫正技术,外表看不到托槽装置,几乎隐形;舒适自如,服帖于口腔中,几乎感觉不到存在 ;可在饭前睡前取下自行清洗,保持牙齿及托槽清洁,当然这也是隐形矫正比传统钢丝牙套矫正价格更贵一点的原因。选择隐形矫正一定要选择正规的医院,若还有疑问或是想了解得更为详细具体,可直接拨打电话 0316-2285777,专家将会耐心细致为您做出解答。
相关阅读